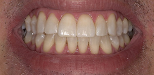
Do your teeth suffer from gaps, chips, stains, or discolorations? If so, you may be a candidate for porcelain veneers, a highly effective and minimally invasive cosmetic procedure that can achieve beautiful results.
Porcelain veneers are thin wafer-like shells that are custom-made of the highest quality ceramic materials. They are designed to fit perfectly over the front of your teeth.

Espanol











